

目次
+

従来のピーリングは、皮膚の外層を剥がすため、再生されるまでの間に紫外線などの影響を受けやすく、色素沈着が起こりやすいというデメリットがありました。これに対し、シャイニングピールは微細なエネルギーを皮膚に照射し、表皮を傷つけることなく、真皮層での新しいコラーゲン再生を促進する最新のレーザーピーリング治療です。

シャイニングピール治療のメリットは、皮膚の外層を保つため、術後も紫外線による色素沈着のリスクを抑えられ、日常生活に影響を与えない点にあります。時間とともに皮膚の外層が自然に剥がれ落ちるため、無理なく手軽に受けることができる美肌治療です。
また、肌のトーン改善、小ジワや毛穴の目立ち、くすみの軽減にも効果があり、卵肌のように滑らかで光沢のある美肌を目指せます。
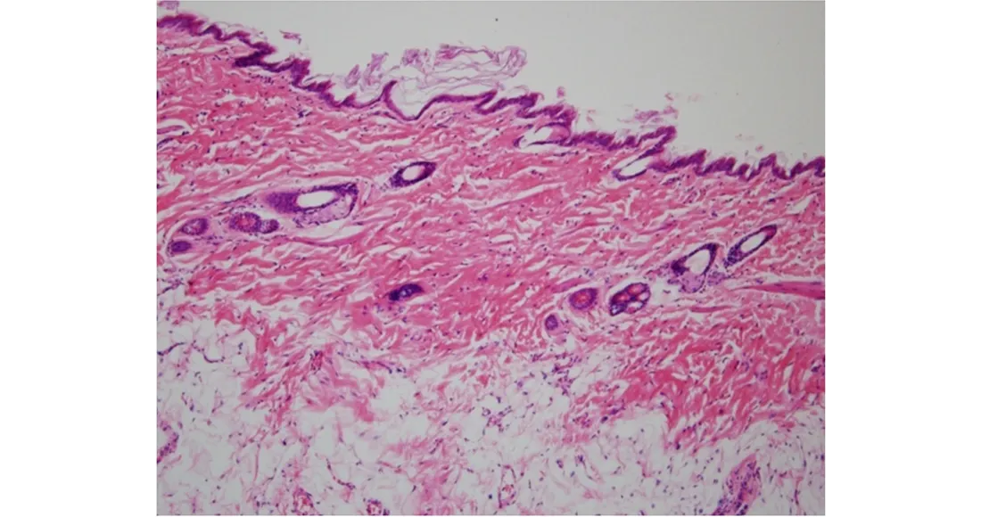
表皮を脱落させずに真皮層にコラーゲン再生を誘導します。
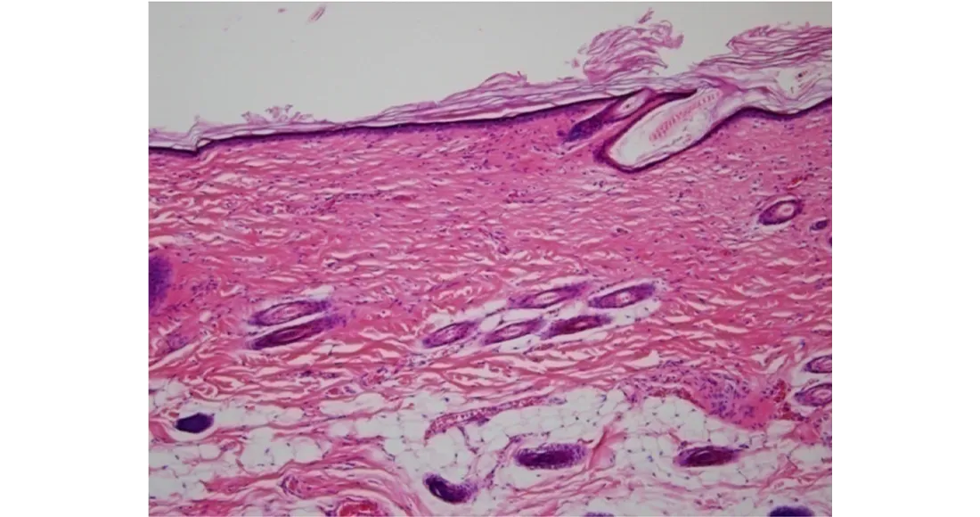
シャイニングピール照射3ヶ月後、コラーゲンとエラスチンの組織の数が増えて、真皮層の厚みがましているのが分かります。

照射前の肌組織図

照射後3ヶ月の肌組織図

シャイニングピール治療は、一般的なピーリングに比べてダウンタイムが短いのが魅力です。
施術後も皮膚の表面がそのままなので、赤みや腫れが少なく、普段の生活にほとんど影響が出ません。皮膚が自然にゆっくりと剥がれるので、激しい皮剥けはなく、乾燥や軽い皮剥けを感じる程度です。
メイクも翌日からできることが多く、忙しい方でも気軽に試せる治療です。
お肌の状態を確認し、治療内容をご説明致します。
クレンジングと洗顔をして、メイクや汚れを十分に落とします。
痛みの軽減の為、クーリングを行い照射していきます。
照射後、ほてりが強い場合はクーリングを行います。
ご帰宅された後でご不安な事やご質問などがありましたら、お気軽にご相談下さい。
施術時間 |
30分 |
通院 |
なし |
麻酔 |
なし |
痛み |
なし |
傷跡 |
なし |
ダウンタイム |
短い |
メイク |
術後よりメイクが可能です。 |
洗顔・入浴・シャワー |
【洗顔・シャワー】 当日から可能です。 【入浴】 赤みがある場合は、入浴を控えて下さい。 |
副作用・リスク |
|
注意事項 |
|
PRICE
| 施術名 | 料金(税込) | |
| シャイニングピール | 1回 | ¥44,000 |
| 5回 | ¥151,250 | |
FAQ
ACCESS

金沢中央クリニック 院長
小神 博文